News & Events

Congratulations!

On December 31, 2025,

Dr. Tonking Bastola was chosen as one of the recipients of the Takara Trekker + Illumina 3’ + Sequencing Pilot Project Grant at UC San Diego!


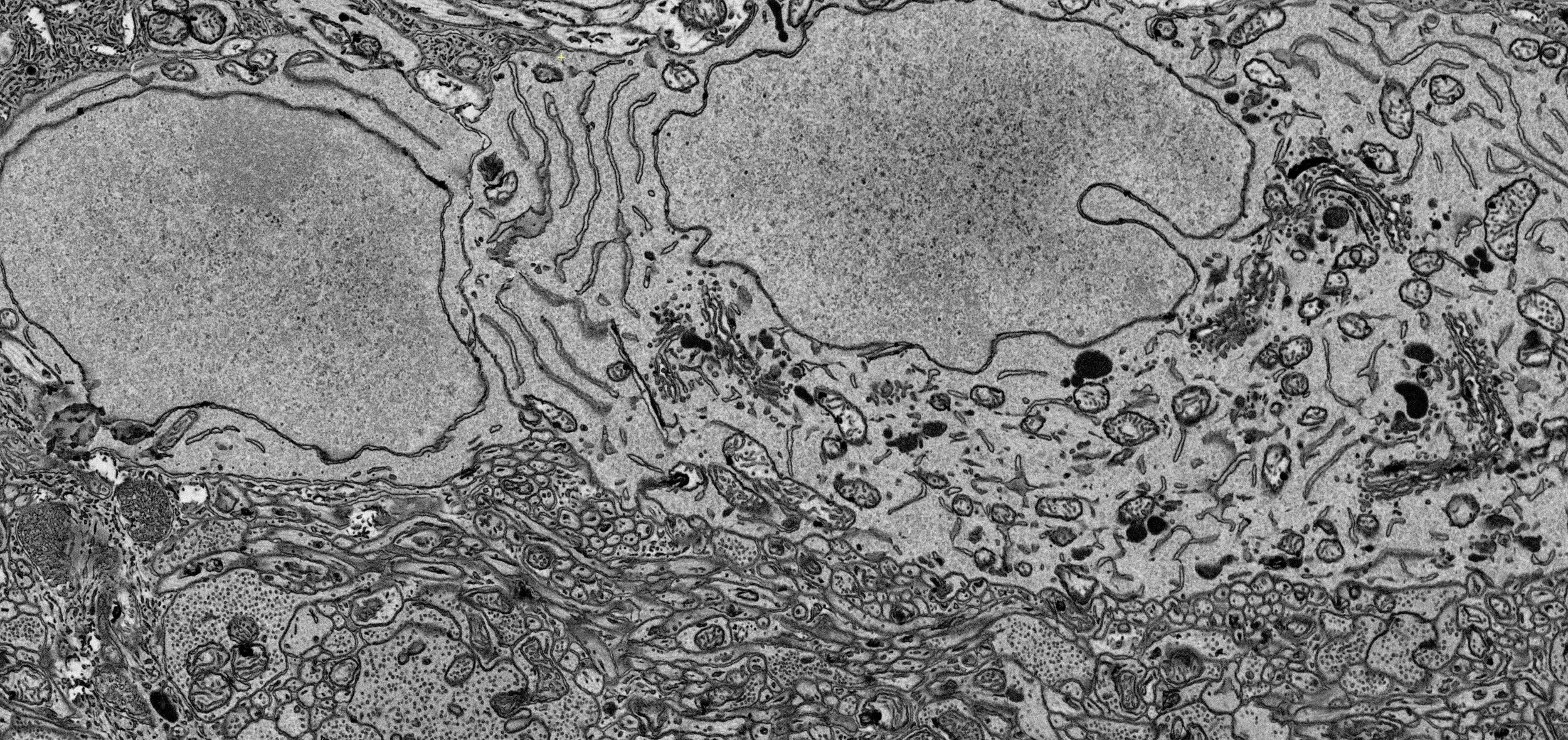
New review article “Glaucomatous optic neuropathy: Mitochondrial dynamics, dysfunction and protection in retinal ganglion cells” from our lab is now available online in Progress in Retinal and Eye Research.

Here, we review the current studies focusing on mitochondrial dynamics-based structural and functional alterations in the mitochondria of glaucomatous retinal ganglion cells (RGCs) and therapeutic strategies to protect RGCs against glaucomatous neurodegeneration. We thank you to all contributors.

Glaucomatous optic neuropathy: Mitochondrial dynamics, dysfunction and protection in retinal ganglion cells

October 2016

Promise of Gene Therapy for Glaucoma Shines Bright in Award-Winning Image

https://health.ucsd.edu/news/releases/Pages/2016-10-17-NIH-beauty-of-science-award-winning-image.aspx

November 2016

Snapshots of Life: Lighting up the Promise of Retinal Gene Therapy

https://directorsblog.nih.gov/2016/11/10/snapshots-of-life-lighting-up-the-promise-of-retinal-gene-therapy/